• NISSIN Página Principal
  • Quiénes somos
  • Productos
  • Eventos
  • Distribuidores
  • Contacto
Página Principal > Productos > Productos de Capacitación Dental > Área de Implante > Modelo Básico para Entrenamiento de Implante [IMP5003-UL-SP-FEM]
  • El agujero mentoniano y la línea milohioideo se reproducen de forma realística, esto permite una práctica "clínica cerrada"
  • El canal mandibular se duplica en el interior del hueso de la mandíbula, cosa que le permite practicar teniendo en cuenta la dirección y la profundidad de inserción del implante
  • Una banda de color rojo de en el canal mandibular se puede quitar para comprobar cualquier daño que haya sido causado por la inserción del implante
  • Diente #44 se puede retirar para comprobar si hay algún daño en la raíz después del entrenamiento
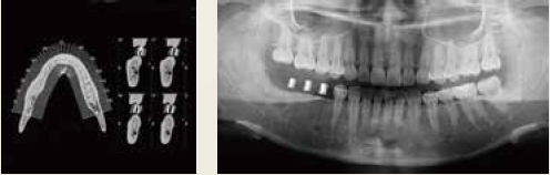
  • Diagnóstico de pre-tratamiento puede ser practicado por la descarga de las imágenes panorámicas y TC/DICOM ya que la forma del hueso y la distancia desde la cresta alveolar y el canal mandibular en estas imágenes se basan en el modelo IMP5003

  • Socket de remplazo permite repetidas prácticas

Método de Capacitación

IncisiónColgajo de espesor completo
SuturaBarrenado
Inserción de implantePlaca de guía quirúrgica
Impresión de alginatoFabricación de superestractura


Descargar

Haga clic en las imágenes de abajo para descargar la Radiografía Panorámica y la Tomografía Computarizada TC/DICOM.


Articulador

FE IMP5003-UL-SP-FEM D IMP5003-UL-SP-DM
DP IMP5003-UL-SP-DPM NINGUNO IMP5003-UL-SP-HM

Variaciones de articulador

Partes de reemplazo

Modelo Básico para Entrenamiento de Implante [IMP5003-UL-SP-FEM]
  • ZoomModelo Básico para Entrenamiento de Implante [IMP5003-UL-SP-FEM]
  • Modelo Básico para Entrenamiento de Implante [IMP5003-UL-SP-FEM]
  • Modelo Básico para Entrenamiento de Implante [IMP5003-UL-SP-FEM]
  • Modelo Básico para Entrenamiento de Implante [IMP5003-UL-SP-FEM]
  • Modelo Básico para Entrenamiento de Implante [IMP5003-UL-SP-FEM]
  • Modelo Básico para Entrenamiento de Implante [IMP5003-UL-SP-FEM]
Instrucciones de uso
Variaciones de articulador
Significados de los Códigos
Formulario de contacto