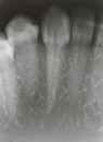
X-Ray Phantom
Other Training Areas
- X-Ray simulator for practicing dental radiography use
- Jaw model allows the mastering of bisecting techniques
- Jaw model is X-Ray compatible
- Acquire basic X-Ray techniques such as film angle and projection angle for each area
- Free-moving finger arm allows you to hold the film at the position of your choice so you can practice 10 or 14 exposure techniques
- Phantom unit is stored inside the suitcase
- Can be set up on the chair or on its own easily
Training Method


10 Exposure Method
Set Contents

Head Base Unit

Mask

Jaw Model P27-XR.1

Articulator

Desk Clamp Unit

Trunk Unit